

※矢印マークを左右にドラッグすると治療前後画像が切り替わります
| 治療期間 | 1年10ヶ月 |
|---|---|
| 治療法 | マウスピース矯正 |
| 治療費 | 約104万円(検査費、保定観察費 別) |
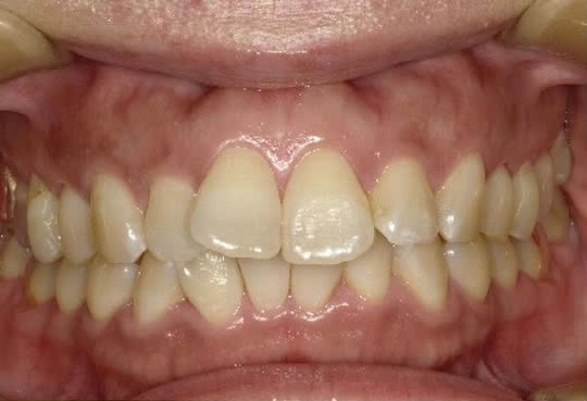
こちらは40代女性。
患者様のご希望で非抜歯での矯正治療を行いました。
一番治したい前歯は、テクニック的に後半ラスト4ヶ月まで治さない方針で我慢して頂き奥歯から矯正を進めました。
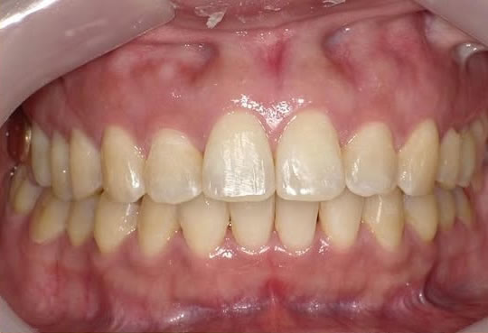
そのお陰で口元がスッキリし若返っています。
バッカルコリドーも美しく、口角が綺麗に上がっているのがわかります。
患者様も満足いただき、美しく仕上がりました。
※バッカルコリドーとは、笑ったときに口角の内側と歯の間(頬の内側)にできる、影のような黒い隙間のことです。
【一般的な矯正治療の副作用】
頻度は極稀ですが、矯正治療では、歯根吸収や歯肉退縮、歯髄壊死等のリスクが一般的に報告されています。
リスクの種類や可能性はそれぞれ異なるため診断時に詳しくご説明さしあげます。