リョウデンタルオフィス 一般歯科・矯正歯科・小児歯科・口腔外科

  • HOME
  • 当院について
  • スタッフ紹介
  • お支払いについて
  • 矯正治療症例
  • 顕微鏡根管治療症例
  • お知らせ
  • コラム
  • English
  • 診療案内
  • 顕微鏡根管治療
  • インプラント
  • 矯正歯科
  • 歯周病治療
  • 親知らず(口腔外科)
  • むし歯治療
  • 小児歯科
  • 予防歯科
  • ホワイトニング
  • 入れ歯
  • 訪問歯科
  • 有病者・高齢者歯科
  • 口臭・禁煙外来
  • 成人・妊婦歯科健診
  • 無痛・短期治療
診療案内
  • 診療案内
  • 顕微鏡根管治療
  • インプラント
  • 矯正歯科
  • 歯周病治療
  • 親知らずの抜歯(口腔外科)
  • むし歯治療
  • 小児歯科
  • 予防歯科
  • ホワイトニング
  • 入れ歯
  • 訪問歯科
  • 有病者・高齢者歯科
  • 口臭・禁煙外来
  • 成人・妊婦歯科健診
  • 無痛・短期治療
クリニック紹介
  • HOME
  • 当院について
  • スタッフ紹介
  • お支払いについて
  • 矯正治療症例
  • 顕微鏡根管治療症例
  • お知らせ
  • コラム
  • English
〒167-0042 東京都杉並区西荻北3-32-12 西荻クリニックファームB1-C
03-6903-2605
アクセス・診療時間
WEB予約
診療時間・アクセス
×

下記の注意事項を必ずご確認ください

  • 初診はお口の状態を検査・確認した上で診断し、処置となります。
  • 再初診の方の予約は受け付けておりますが担当医の変更を伴う場合があります。
    元々の担当医をご希望でしたらお電話をお願い致します。
  • ホワイトニング、PMTCは分院のグラーツデンタルケアにてご予約を承っております。
    グラーツデンタルケアHPはこちら
  • 予約を取りたい日が一週間以内の場合、予約が取りづらいかと思われます。
    その場合、直接お電話頂ければ、オンラインでは開放していない時間帯をお教えできますのでご利用下さい。
  • ご予約の15分前にお越しください(カルテをお作りする時間として)
  • 予約時間の15分前にいらっしゃらない場合はカルテ作成の時間がかかりますので時間を短縮しての診療か、もしくはお待ちいただきながらの診療となる場合がございますのでご同意下さい。
  • 夕方6時以降と土曜日に関しては大変混み合います。
    お待たせする可能性がありますのでご了承ください。

チェックを入れると「ボタン」が有効となります。

WEB予約

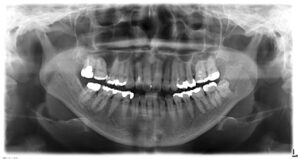
顕微鏡根管治療症例

HOME › 顕微鏡根管治療症例

症例一覧

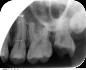
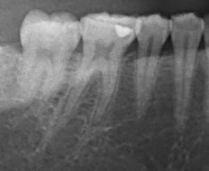
他院で抜歯と診断された歯の顕微鏡根管治療例|69歳男性
精細さ欠いた根管治療を顕微鏡で再根管治療例|56歳男性
治療中断し放置した歯が再発。顕微鏡を使用した再根管治療例|50歳女性
根管治療の精密さを欠き再発。膿んだ歯の顕微鏡根管治療例|69歳男性
膿んでしまった歯の顕微鏡根管治療例|42歳女性
根っこに開いた穴のリペアを含む顕微鏡根管治療例|49歳男性
銀歯の劣化からの感染。顕微鏡根管治療例|59歳女性
保険診療から自費診療へ移行した顕微鏡根管治療症例|54歳女性
歯を残すための最善な顕微鏡根管治療|60歳女性
再発を予防し長く使用できる顕微鏡根管治療を選択された41歳女性
40歳男性の二次虫歯を顕微鏡根管治療
死んだ神経の歯を顕微鏡根管治療症例|34歳女性
他院で保険治療を繰り返し行っていたが治らず抜歯を進められた症例|48歳女性
29歳男性の顕微鏡根管治療症例
他院での根管治療が上手くいっておらず再治療|51歳女性
左下奥歯の顕微鏡根管治療症例|34歳女性

投稿のページ送り

  • 1
  • 2
  • 次へ
リョウデンタルオフィス 一般歯科・矯正歯科・小児歯科・口腔外科
WEB予約・変更
03-6903-2605

〒167-0042
東京都杉並区西荻北3-32-12 西荻クリニックファームB1-C

診療時間 月 火 水 木 金 土 日祝
9:30-13:00 ※ ● - ● ● ● -
14:30-19:30 ※ ● - ● ● ● -
12:00-21:00 - - ● - - - -

※月曜日は振替診療あり

2025年 12月
日月火水木金土
30
1
2
3
4
5
6
7
8
9
10
11
12
13
14
15
16
17
18
19
20
21
22
23
24
25
26
27
28
29
30
31
1
2
3

休診日

CLINIC
  • HOME
  • 当院について
  • スタッフ紹介
  • お支払いについて
  • 矯正治療症例
  • 顕微鏡根管治療症例
  • お知らせ
  • コラム
  • English
診療案内
  • 診療案内
  • 顕微鏡根管治療
  • インプラント
  • 矯正歯科
  • 歯周病治療
  • 親知らずの抜歯(口腔外科)
  • むし歯治療
  • 小児歯科
  • 予防歯科
  • ホワイトニング
  • 入れ歯
  • 訪問歯科
  • 有病者・高齢者歯科
  • 口臭・禁煙外来
  • 成人・妊婦歯科健診
  • 無痛・短期治療
高橋歯科医院
© 医療法人社団 仁歯会 RYO DENTAL OFFICE.

TEL

WEB予約

診療時間・アクセス